某柴油機排氣閥服役運行約3萬h后斷裂。該排氣閥曾經無損探傷,發現在距大端面150-160mm的桿部存在多條相互平行的斷續狀周向裂紋,經打磨排除裂紋后,于2016年1月19日再探傷復檢,在原裂紋處未發現宏觀可分辨的明顯裂紋,故繼續投入服役運行。至2016年9月,發電機組出現故障,該排氣閥桿部發生彎曲變形,從安裝位置脫出,掉落在落差約4m的地面上發生斷裂,其斷裂部位恰好在距大端面150-160mm的桿部,即原來無損探傷檢測到裂紋的部位。

圖1斷裂排氣閥的實物形貌
圖1為斷裂排氣閥桿一側的宏觀斷口形貌。在斷桿邊緣存在呈深灰帶黃色的半月形區域(箭頭A所指),及其對側邊緣部位同樣存在一個呈灰白色的半月形區域(箭頭B所指),它們的斷口宏觀形貌具有疲勞起源區的特征,但不在同一高度的平面上;由A部位至斷桿心部為——“平坦”的占整個斷口面接近一半的面積的斷面區域(圖中G所指區域),其宏觀形貌特征是起始于A半月形圓弧區域向桿心部擴展的放射狀條紋,表明裂紋具有快速擴展特征;而B區的這類裂紋快速擴展區不明顯,由斷桿心部至桿的另一邊緣(B區)出現一凹陷區域,它與G和B區均約成45度角相交,表明該區域屬最后瞬間斷裂區。由此可以斷定,排氣閥斷裂屬二源疲勞斷裂,疲勞起源于閥桿表面,即箭頭A和B所指部位,其中A是最先發生疲勞開裂的部位。此外,在近斷口兩側區的閥桿表面存在多條相互平行的同向裂紋。
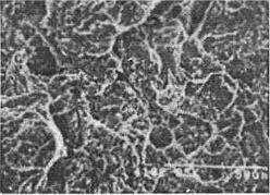
在圖1中所指A、E、F和G部位截取斷口試樣,經物理方法仔細清洗斷口面后進行斷口微觀觀察,結果見圖2,A所指部位為裂紋起源區,腐蝕產物覆蓋在斷口表面,細節不易分辨,僅可見大量坑孔和二次裂紋,這表明其裂紋起源與運行工況、環境介質有關。E所指部位是裂紋穩定擴展區,此區域屬最先形成的斷口,盡管斷口面已經認真清洗,但仍覆蓋著因受環境介質作用而產生的粘附緊密的腐蝕薄膜,干擾了斷口微觀形貌的細節觀察,僅模糊顯現解理和準解理脆斷特征及存在較明顯的沿晶擴展的二次裂紋。F所指部位是裂紋穩定擴展區與失效快速擴展區的交界處,可見解理斷裂特征的河流狀花樣和類似疲勞微觀特征的斷續輝紋。G所指部位為裂紋快速擴展區,為典型的解理和準解理撕裂特征。由此可見,排氣閥斷裂為腐蝕疲勞開裂引發的瞬間應力脆斷。

(a)圖1中A部位形貌

(b)圖1中E部位形貌

(c)圖1中F部位形貌

(d)圖1中G部位形貌
圖2斷口微觀SEM形貌圖
地 址:上海市金山區興塔工業區
咨詢電話:021-5736 2601
手機號碼:138 1635 7694
電子郵箱:hanyuev@163.com
網 址:http://www.u9fa.com