一、軌道球閥閥桿失效問題分析
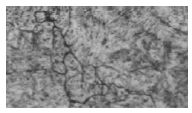
軌道球閥啟閉過程中,閥桿既受旋轉運動扭力,同時也承受上下運動的推力和拉力。分段式閥桿分為上、下兩部分。上閥桿部分包括梯形螺紋段、填料密封段以及倒密封段,下閥桿部分包括螺旋槽段、楔形段以及扁方段。上下兩段閥桿由螺紋加防轉銷連接(圖1),其損壞的部分為下閥桿(圖2),而上閥桿沒有損壞。檢測得到損壞的下閥桿材料中各元素含量(表1),其符合420材料的要求。對損壞的閥桿取樣測試,得到其硬度(表2)、金相(圖3)及拉伸試驗(表3)結果。

1.上閥桿2.防轉銷3.下閥桿
圖1 軌道球閥閥桿組合件

圖2 下閥桿損壞形貌
表1 各元素檢測值 Wt%
420 | C | Mn | P | S | Si | Cr | Ni | Mo |
標準值 | >0.15 | 1 | 1.04 | 0.03 | 1 | 12.0-14.0 | - | - |
實測值 | 0.289 | 0.397 | 0.018 | 0.004 | 0.381 | 12.2 | 0.2 | 0.052 |
表2 硬度檢測 HRC
次數 | 平均值 | ||||
1 | 2 | 3 | 4 | 5 | |
48 | 49 | 49 | 48 | 50.5 | 48.9 |
表3 力學性能測試

圖3 金相組織圖

考慮到取樣為閥桿內部和熱處理的淬透性,結合ASTMA276標準規定的熱處理要求(表4),可以判斷閥桿的熱處理工藝為淬火處理。經過分析,確定損壞的下閥桿材料為淬火處理的420。
表4 ASTMA276規定的420熱處理條件
牌號 | 熱處理溫度℃ | 淬火 | 硬度HRC,最小 |
420 | 995+/- | 空氣 | 50 |
根據閥桿斷裂缺口形狀(圖4)分析,斷裂處屬于應力集中區域,該處結構復雜,包括內螺紋退刀槽、外軌道槽的斜面部分以及上下閥桿連接的防轉銷孔。然而軌道球閥操作扭矩只有普通球閥的1/4甚至更低,而所測閥桿材料抗拉強度達1200MPa以上,因此結構上應力集中和材料的強度不夠并不是造成閥桿斷裂的主要原因。

圖4 閥桿斷裂面
二、軌道球閥閥桿失效工況分析
球閥工況條件為氫氣和硫化氫等混合性介質,其中氫氣含量約50%,硫化氫含量約0.2%。結合分析結果,閥桿失效的主要原因是由于氫致裂紋(HIC)和硫化物應力開裂(SSC)所致。
氫致裂紋是由于鋼材在高溫高壓氫氣環境下操作時,氫氣擴散侵入鋼材中,當冷卻過程中,由于氫來不及從鋼材中向外釋放,鋼材內就會吸入一定的氫,從而引發裂紋。硫化物應力開裂是含H2S的酸性環境,當一種易受影響材料的表面與酸性氣體接觸時,H2S分子發生化學反應,形成金屬硫化物和氫原子,氫原子在應力最高的裂紋端擴散到材料,晶格、晶格表面以及晶界上氫氣的擴散和堆積降低了材料可塑性形變的能力,引起氫脆,使裂紋更容易擴展。
軌道球閥閥桿斷裂具備了氫致裂紋和硫化物應力開裂發生的3個條件,即應力、介質和材料。①閥桿斷裂處結構復雜,應力集中。②閥桿密封填料位置處于軌道槽上部,即閥桿斷裂部分長期與介質接觸,而且介質為高壓氫氣和硫化氫等混合物。③420材料是一種馬氏體不銹鋼,經過淬火處理后其伸長率和收縮率過小,脆性高,材料硬度過高而韌性不足。因此,閥門使用一段時間后,閥桿已經產生裂紋,一旦對閥門進行操作,即造成閥桿損壞,與軌道球閥在開關時發生閥桿斷裂的情況吻合。
地 址:上海市金山區興塔工業區
咨詢電話:021-5736 2601
手機號碼:138 1635 7694
電子郵箱:hanyuev@163.com
網 址:http://www.u9fa.com